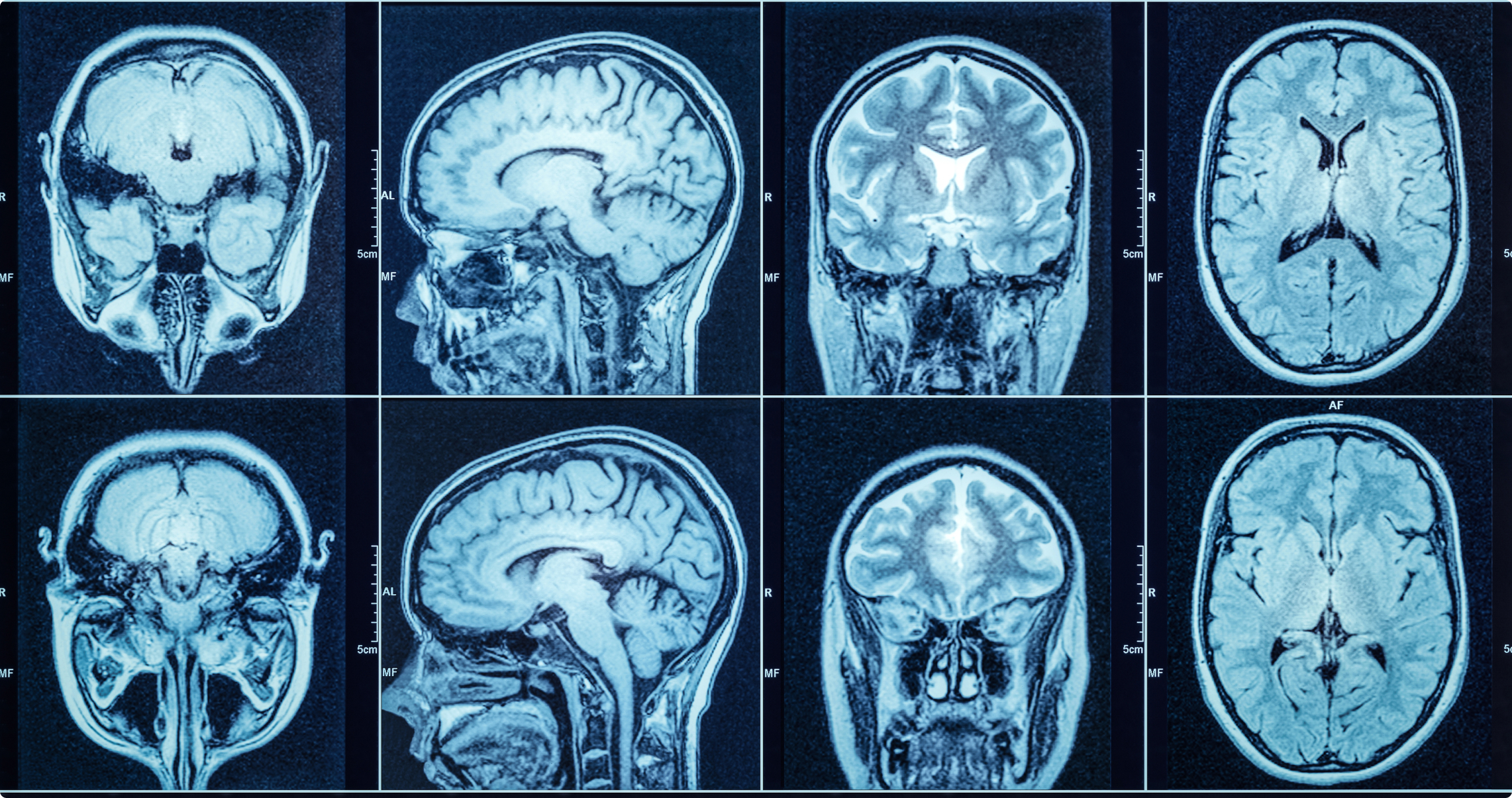
• Снимки МРТ в HD-качестве

    • мощные томографы (1,5 Тесла)
    • высокая информативность снимков
    • повышенная точность (видны минимальные отклонения от нормы)

    *Уточняйте характеристики оборудования в центрах «МРТ Эксперт» и «Клиника Эксперт» вашего города

Сеть медицинских центров в Новосибирске

  • Федеральная сеть: более 40 городов

  • Диагностика и лечение с 2007 года

  • Экспертиза в сложных видах МРТ

  • Онлайн-консультации в сервисе Telemedex

Что такое МРТ?

  • Магнитно-резонансная томография — это аппаратный метод диагностики: томограф послойно сканирует органы и ткани организма. МРТ безопасна, так как не создаёт лучевой нагрузки.

  • Области диагностики

    МРТ лучше визуализирует мягкие ткани (а КТ — костные структуры). С помощью МРТ исследуют головной и спинной мозг, суставы, сосуды, органы малого таза и многое другое.

    Контрастное усиление

    Контраст помогает чётче видеть новообразования: их размер, форму и количество. Благодаря этому врач более точно определит причины жалоб.

  • Противопоказания

    • · кардиостимулятор
    • · протезы клапанов сердца
    • · сосудистые клипсы в головном мозге
    • · металлические импланты
    • · металлические осколки и пули в теле
    • · 1-й триместр беременности

    Важно

    Направление на МРТ можно получить у нас в центре при наличии показаний.

  • Ограничения

    • · вес более 120 кг
    • · клаустрофобия
    • · болевой синдром, затрудняющий долгое пребывание в неподвижном состоянии

    Альтернатива

    Когда есть эти ограничения, вместо МРТ можно пройти КТ или другие диагностические исследования по рекомендации врача.

Выберите акцию

  • Выясните причину головной боли!

    Выгодно

Стоимость услуг

Убедитесь в качестве оборудования

В центрах «МРТ Эксперт» и «Клиника Эксперт» установлены томографы от ведущих мировых производителей медицинской техники. Комфортный диаметр тоннеля и наушники для шумоизоляции обеспечивают удобство пациенту во время диагностики.

  • Аппараты с напряжённостью магнитного поля 1,5 Тесла — это высокопольные томографы. Они выполняют изображения со срезом толщиной от 1 мм, что позволяет заметить даже малейшие отклонения от нормы.

  • Аппараты с напряжённостью магнитного поля 3 Тесла — это сверхвысокопольные томографы. Они позволяют проводить МРТ с большей скоростью, а также требуются для точной диагностики отдельных патологий (например эпилепсии).

Наши эксперты

Изучите отзывы

  • 2
    Добрый день. На сайте не представлена информация о физиолечении в г. Новосибирске. Ни выбора процедур, ни цен. Потратила время, результата не получила. Позвонила по т. 388-53-95, оператор не знает есть ли на сайте информация о физиопроцедурах.
    Читать далее
  • 5
    Хорошие слова мы иногда забываем сказать. Ушли из клиники и все. А вот у меня второй раз сложилась такая ситуация, что у доктора отменили прием. Сразу же операторы колл центра предложили запись к другому доктору. Я отказалась. Через день я опять созвонилась и попросила поставить в лист ожидания. ...
    Читать далее
  • 1
    23.11.25г. был на приему у врача кардиолога-аритмолога Ермолаевой М.С. Сейчас много приходится посещать врачей в связи со свалившейся на меня проблемой - диагноз тромбоэмболия и ампутация ноги, но хуже приёма еще не встречал. Надо найти причину возникновения тромбов. А тут врач даже не прослушал...
    Читать далее
  • 5
    24.11.2025 Андрей Сергеевич Зырянов провел операцию по лечению перелома лодыжки со смещением и далее я два дня оставался в стационаре. Мне все очень понравилось, начиная с проведения анализов перед операцией, заканчивая пребыванием в стационаре. Хотел бы выразить благодарность Андрею Сергеевичу з...
    Читать далее
  • 1
    Позвонила в клинику на Степной. Попросила уточнить было ли получено гарантийное письмо от страховой. На что мне Величко Анна Михайловна, дает странный ответ, совсем не то, о чем я просила. После такого ответа пропало все желание идти в вашу клинику на прием, она начала со мной спорить, повышенным...
    Читать далее
  • 1
    Ужасное отношение к пациентам. Записалась к гинекологу Кузьменко Ю. А. в середине октября на первичный прием, запись была только на 20.11.25 г. в 13.00 Пришлось записаться на ноябрь. Но в начале ноября перезвонила менеджер и сообщила, что врач отменила прием по четвергам после обеда. И меня пе...
    Читать далее
  • 1
    Добрый день! Записалась по рекомендации к гинекологу Кузьменко Юлия Алексеевна в октябре на 25 ноября 2025г. Очень нужно было посетить доктора, но сегодня за 5 рабочих дней до приема, позвонили и оказалось отменяют запись, потому что доктор улетает за границу. А на декабрь 2025г. уже все у нее за...
    Читать далее
  • 5
    Выражаю огромную благодарность хирургу Зубкову Андрею Андреевичу за профессиональный подход к своему делу, внимательность к пациентам, доброту и заботу. Обратилась в клинику по поводу удаления желчного пузыря. На приеме перед операцией Андрей Андреевич рассказал как будет проводиться операция, ка...
    Читать далее
  • 1
    Здравствуйте! Сегодня позвонила по тел 388-64-20. Озвучили цену на МРХПГ 8т.р. и пенсионную скидку 5%. Когда решила записаться по тел 244 91 48 уже цена стала 11т.р. И никаких акций, как на сайте!
    Читать далее
  • 4
    Была на приеме у травматолога Жидкова С.К. К врачу претензий нет! Объясняет, описывает понятно и доходчиво. Вопрос к другому.Почему вторичный(повторный) прием по стоимости равен первичному? Здесь,судя по информации на сайте не доктора наук работают. Во многих клиниках цена на вторичный прием все...
    Читать далее
  • 1
    Ситуация абсурдная до смешного: за день до моего приема мне позвонил оператор, чтобы подтвердить запись. Я специально уточнил адрес, и мне назвали улицу Степную. Естественно, я поехал именно туда. Каково же было мое удивление, когда на ресепшене клиники на Степной мне с удивлением сообщили, что ...
    Читать далее
  • 5
    Сломал ногу при падении на мотоцикле Перенес операцию по поводу перелома лодыжки со смещением у травматолога Зырянова Андрея Сергеевича. Очень доволен результатом! Через 6 недель после операции уже передвигался без костылей, через 8 уверенно хожу. Врач – профессионал своего дела, все четко, ясно,...
    Читать далее
  • 3
    Добрый день. Не в первый раз обращаюсь к разным специалистам клиники Эксперт, отношения были очень дружелюбные и приветливыми. Сегодня так получилось обратиться сразу к двум специалистам сделать УЗИ сердца и попасть к кардиологу. УЗИ сердца сделали девочки на высшем уровне, всё мне рассказали и ...
    Читать далее
  • 5
    Сегодня 24.10.2025 г. проходила диагностическую процедуру ФГД. Хочу сказать большое спасибо Горшкову Петру Борисовичу за высокопрофессиональный подход и бережное отношение к клиентам. Несмотря на то, что процедура "не из приятных", Петр Борисович перед процедурой объяснил как что будет проходить...
    Читать далее
  • 5
    Хочу оставить благодарность Кузьменко Юлии Алексеевна за её профессионализм и оперативность в решении моего вопроса. Весь процесс от первого приёма,осмотра, консультации, рекомендаций до операции занял минимальное количество времени. После приёма было понятно, ЧТО, КАК и КОГДА нужно делать. Сама ...
    Читать далее
  • 5
    Хочу оставить отзыв о профессиональной работе замечательного анастезиолога Захарова Валерия Викторовича. Операция была проведена в октябре 2025. Конечно, как все пациенты,очень переживала, но с приходом Валерия Викторовича перед операцией в палату, все тревоги исчезли. Доктор очень подробно объя...
    Читать далее
  • 5
    Посетила клинику по вопросу фгдс+колоноскопия под наркозом. Очень боялась процедуры и наркоза, подготовительная часть тоже была тяжелая. Но все страхи ушли после беседы с анестезиологом Захаровым В. В. Все рассказал, объяснил и после процедуры оказал достойное внимание. Спасибо большое грамотному...
    Читать далее
  • 5
    Здравствуйте! Хочу поблагодарить Романа Игоревича за поставленный диагноз. 8 месяцев меня лечили от одного заболевания, а Роман Игоревич разобрался в моей проблеме. Очень добрый, вежливый доктор. Рекомендую. Побольше таких врачей. Здоровья вам и профессионального роста!!!
    Читать далее
  • 5
    Хочу выразить огромную благодарность врачу Алексеенко Дмитрию Сергеевичу и всему персоналу клиники "Эксперт" за отлично проделанную работу. Очень долго и тсчательно подбирали врача по всей России для проведения операции, т. к нужно было удаление мицетомы из гайморовой пазухи, которая там находил...
    Читать далее
  • 5
    Очень давно пользуюсь услугами клиники по адресу Красный проспект 79/1 Ежегодно последние несколько лет делаю МРТ. Процедуры проводят качественно, грамотное описание, персонал очень вежливый и заботливый. Спасибо огромное вам за вашу работу, внимание и помощь! Всех благ вам и процветания. Пуст...
    Читать далее

Узнайте о нас больше

  • Клиника Эксперт

Центры «Клиника Эксперт» Новосибирск входит в федеральную сеть под брендом «Эксперт» с 15-летним опытом в лучевой диагностике. Для заботы о пациентах у нас есть диагностика (МРТ, КТ, УЗИ, Рентген, ФГДС / ФКС и др.), приёмы врачей, хирургический блок и круглосуточный стационар.

  • Ингосстрах
  • СПАО "РЕСО-Гарантия"
  • СГ "Согаз"
  • Технологии ИИ в расшифровке снимков

    Врачам доступна система с поддержкой искусственного интеллекта для описания МРТ.

  • Радиологическая информационная система

    Позволяет получать описание МРТ от ведущих экспертов наших центров дистанционно.

  • Глубокая экспертиза в сложных видах МРТ

    Наши эксперты работают с узкими направлениями диагностики: МРТ сердца, МРТ плода, МРТ плаценты.

  • Подготовка кадров в «Институте Эксперт»

    С 2014 года наши специалисты обучают будущих врачей-рентгенологов. Это кузница кадров для клиник всей страны.

Контакты Клиника Эксперт в Новосибирске